The Clinical Value of Serial Radionuclide Gastric-Emptying Scintigraphy for Objective Evaluation of Gastroparesis in a Patient with Superior Mesenteric Artery Syndrome Post Corrective Surgery

Affiliations


Abstract

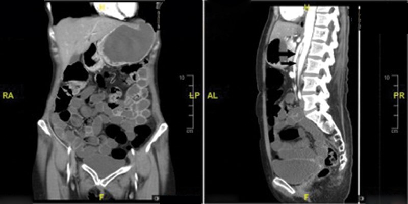
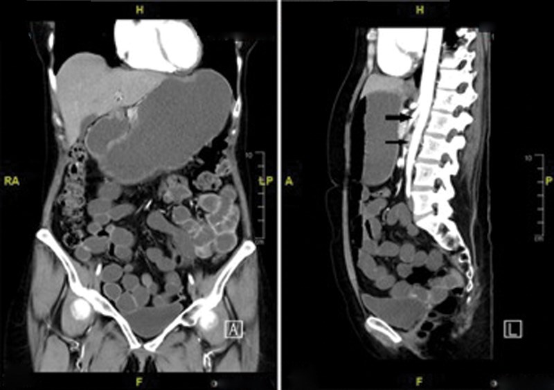
Superior mesenteric artery syndrome is a rare cause of intestinal obstruction. The condition results from compression of the duodenum between the aorta and the superior mesenteric artery, which causes an impairment of gastric emptying and associated chronic symptoms. There is a need to objectively assess the severity of gastric-emptying disorder in these patients post-treatment to assess the efficacy of the conservative or surgical management. We report here a case of a patient where the radionuclide gastric-emptying study was crucial in monitoring the effectiveness of surgical management of this syndrome.

Keywords: Tc-99m Tin colloid; duodenojejunostomy; gastric emptying; gastroparesis; superior mesenteric artery syndrome.

World Association of Radiopharmaceutical and Molecular Therapy (WARMTH). This is an open access article published by Thieme under the terms of the Creative Commons Attribution-NonDerivative-NonCommercial License, permitting copying and reproduction so long as the original work is given appropriate credit. Contents may not be used for commercial purposes, or adapted, remixed, transformed or built upon. ( https://creativecommons.org/licenses/by-nc-nd/4.0/ ).

Conflict of interest statement

Conflict of Interest None declared.


Figures


Similar articles

Superior mesenteric artery syndrome: case report.

Shukla RC, Pathak R.Nepal Med Coll J. 2008 Jun;10(2):144-5.PMID: 18828443

Superior Mesenteric Artery Syndrome: a Prospective Study in a Single Institution.

Ganss A, Rampado S, Savarino E, Bardini R.J Gastrointest Surg. 2019 May;23(5):997-1005. doi: 10.1007/s11605-018-3984-6. Epub 2018 Oct 5.PMID: 30291587

Superior mesenteric artery syndrome: a rare cause of intestinal obstruction. Diagnosis and surgical management.

Yakan S, Calıskan C, Kaplan H, Deneclı AG, Coker A.Indian J Surg. 2013 Apr;75(2):106-10. doi: 10.1007/s12262-012-0423-x. Epub 2012 Mar 15.PMID: 24426403 Free PMC article.

Co-occurring superior mesenteric artery syndrome and nutcracker syndrome requiring Roux-en-Y duodenojejunostomy and left renal vein transposition: a case report and review of the literature.

Heidbreder R.J Med Case Rep. 2018 Aug 6;12(1):214. doi: 10.1186/s13256-018-1743-7.PMID: 30081961 Free PMC article. Review.

Laparoscopic duodenojejunostomy for superior mesenteric artery syndrome: intermediate follow-up results and a review of the literature.

Chang J, Boules M, Rodriguez J, Walsh M, Rosenthal R, Kroh M.Surg Endosc. 2017 Mar;31(3):1180-1185. doi: 10.1007/s00464-016-5088-2. Epub 2016 Jul 12.PMID: 27405482 Review.


KMEL References


References

  1.  
    1. Kwan E, Lau H, Lee F. Wilkie's syndrome. Surgery. 2004;135(02):225–227. - PubMed
  2.  
    1. Wilkie D PD. Chronic duodenal ileus. Br J Surg. 1921;9(34):204–214.
  3.  
    1. Lee T H, Lee J S, Jo Y. Superior mesenteric artery syndrome: where do we stand today? J Gastrointest Surg. 2012;16(12):2203–2211. - PubMed
  4.  
    1. Aslam M I, Finch J G. Prolonged gastroparesis after corrective surgery for Wilkie's syndrome: a case report. J Med Case Reports. 2008;2:109. - PMC - PubMed
  5.  
    1. Kang S, Choi B W. Clinical usefulness of gastric-emptying scintigraphy in the superior mesenteric artery syndrome: a case report. Nucl Med (Stuttg) 2020;59(04):335–337. - PubMed
  6.  
    1. Wayne E R, Burrington J D. Duodenal obstruction by the superior mesenteric artery in children. Surgery. 1972;72(05):762–768. - PubMed
  7.  
    1. Ozkurt H, Cenker M M, Bas N, Erturk S M, Basak M. Measurement of the distance and angle between the aorta and superior mesenteric artery: normal values in different BMI categories. Surg Radiol Anat. 2007;29(07):595–599. - PubMed
  8.  
    1. Mansberger A R, Jr, Hearn J B, Byers R M, Fleisig N, Buxton R W. Vascular compression of the duodenum. Emphasis on accurate diagnosis. Am J Surg. 1968;115(01):89–96. - PubMed
  9.  
    1. Unal B, Aktaş A, Kemal G. Superior mesenteric artery syndrome: CT and ultrasonography findings. Diagn Interv Radiol. 2005;11(02):90–95. - PubMed
  10.  
    1. Ylinen P, Kinnunen J, Höckerstedt K. Superior mesenteric artery syndrome. A follow-up study of 16 operated patients. J Clin Gastroenterol. 1989;11(04):386–391. - PubMed
  11.  
    1. Matheus CdeO, Waisberg J, Zewer M H, Godoy A C. Syndrome of duodenal compression by the superior mesenteric artery following restorative proctocolectomy: a case report and review of literature. Sao Paulo Med J. 2005;123(03):151–153. - PubMed
  12.  
    1. Valdes A, Cárdenas O, Espinosa A, Villazón O, Valdes V. Superior mesenteric artery syndrome. J Am Coll Surg. 2005;201(05):808. - PubMed
  13.  
    1. Baltazar U, Dunn J, Floresguerra C, Schmidt L, Browder W. Superior mesenteric artery syndrome: an uncommon cause of intestinal obstruction. South Med J. 2000;93(06):606–608. - PubMed
  14.  
    1. Camilleri M, Hasler W L, Parkman H P, Quigley E M, Soffer E. Measurement of gastrointestinal motility in the GI laboratory. Gastroenterology. 1998;115(03):747–762. - PubMed
  15.  
    1. Sachdeva P, Malhotra N, Pathikonda M. Gastric emptying of solids and liquids for evaluation for gastroparesis. Dig Dis Sci. 2011;56(04):1138–1146. - PubMed