Acute appendicitis as a rare cause of mechanical small bowel obstruction case report

Affiliations

07 March 2017

-

doi: 10.5339/qmj.2017.4


Abstract

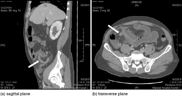
Acute appendicitis is the most common surgical condition with which patients present in emergency departments worldwide. It is also a rare cause of intestinal obstruction. Here, we report a case of a 53-year-old man who presented with a clinical picture of mechanical small bowel obstruction. Leucocytosis was not demonstrated on the routine blood investigation in our case, in contrast to the findings for most patients with acute appendicitis. Acute appendicitis, as the cause of the intestinal obstruction, was diagnosed by computed tomography of the abdomen. The patient was treated using diagnostic laparoscopy and laparoscopic appendectomy. This case was compared with those previously reported in the medical literature to determine the frequency of the case and the surgical management.

Keywords: Acute appendicitis; intestinal obstruction; laparoscopic appendectomy; small bowel obstruction.


Figures


Similar articles

Mechanical small bowel obstruction due to appendiceal tourniquet: a case report and review of literature.

Ahmed KA, Hamdy AMF, Seifeldin MI, Elkeleny MR.J Med Case Rep. 2019 Aug 8;13(1):208. doi: 10.1186/s13256-019-2156-y.PMID: 31391122 Free PMC article. Review.

[Investigation of diagnostic method and treatment on acute appendicitis with acute intestinal obstruction as presenting manifestation].

Zhang X, Li Z, An D, Liu J, Li W.Zhonghua Wei Chang Wai Ke Za Zhi. 2016 Apr;19(4):432-5.PMID: 27112479 Chinese.

Case report--mechanical bowel obstruction with appendicitis without strangulation and leukocytosis.

Khetarpal A, Khetarpal A.Ann Med Surg (Lond). 2021 Feb 4;63:102152. doi: 10.1016/j.amsu.2021.01.100. eCollection 2021 Mar.PMID: 33643650 Free PMC article.

Staple line as a cause of unusual early internal hernia after appendectomy.

Rajan M, Dip F, Szomstein S, Zanghì A, Cavallaro A, Di Vita M, Cardì F, Di Mattia P, Cappellani A, Lo Menzo E, Rosenthal R.Int J Surg. 2014;12 Suppl 1:S159-61. doi: 10.1016/j.ijsu.2014.05.021. Epub 2014 May 22.PMID: 24859400

[Laparoscopy in small bowel ileus].

Neufang T, Becker H.Chirurg. 2000 May;71(5):518-23. doi: 10.1007/s001040050849.PMID: 10875007 Review. German.


Cited by

Hyperbilirubinemia and Hyponatremia as Predictors of Complicated Appendicitis.

Shuaib A, Alhamdan N, Arian H, Sallam MA, Shuaib A.Med Sci (Basel). 2022 Jul 4;10(3):36. doi: 10.3390/medsci10030036.PMID: 35893118 Free PMC article.

Mechanical small bowel obstruction due to appendiceal tourniquet: a case report and review of literature.

Ahmed KA, Hamdy AMF, Seifeldin MI, Elkeleny MR.J Med Case Rep. 2019 Aug 8;13(1):208. doi: 10.1186/s13256-019-2156-y.PMID: 31391122 Free PMC article. Review.

Appendiculo-ileal knot presenting at the third trimester of pregnancy.

Abebe E, Tsehay A, Lemu B, Abebe K, Redi S.J Surg Case Rep. 2019 Jun 14;2019(6):rjz180. doi: 10.1093/jscr/rjz180. eCollection 2019 Jun.PMID: 31214318 Free PMC article.

Laparoscopy in small bowel obstruction - current status - review.

Szeliga J, Jackowski M.Wideochir Inne Tech Maloinwazyjne. 2017 Dec;12(4):455-460. doi: 10.5114/wiitm.2017.72330. Epub 2017 Dec 29.PMID: 29362663 Free PMC article.


KMEL References


References

  1.  
    1. Awale L, Joshi BR, Rajbanshi S, Adhikary S. Appendiceal tie syndrome: A very rare complication of a common disease. World J Gastrointest Surg. 2015;7(4):67–70. ISSN 1948-9366 (online) - PMC - PubMed
  2.  
    1. Hotchkiss LWV. Acute intestinal obstruction following appendicitis. A report of three cases successfully operated upon. Ann Surg. 1901;34:660–677. [PMID: 17861052] - PMC - PubMed
  3.  
    1. Hawkes F., III The prevention of intestinal obstruction following operation for appendicitis. Ann Surg. 1909;49:192–207. [PMID: 17862302] - PMC - PubMed
  4.  
    1. Harris S, Rudolf L. Mechanical small bowel obstruction due to acute appendicitis. Ann Surg. 1966;164(1):157–161. - PMC - PubMed
  5.  
    1. Bhandari L, Mohandas PG. Appendicitis as a cause of intestinal strangulation: A case report and review. World J Emerg Surg. 2009;4:34. - PMC - PubMed
  6.  
    1. Assenza M, Ricci G, Bartolucci P, Modini C. Mechanical small bowel obstruction due to an inflamed appendix wrapping around the last loop of ileum. G Chir. 2005;26:261–266. - PubMed
  7.  
    1. Gupta S, Vaidya MP. Mechanical small bowel obstruction caused by acute appendicitis. Am Surg. 1969;35(9):670–674. - PubMed
  8.  
    1. Chatterjee C, Dash S, Gupta S, Ghosh S. Appendiceal knotting causing small bowel strangulation. J Res Med Sci. 2014;19:1016–1017. - PMC - PubMed
  9.  
    1. O'Donnell ME, Sharif MA. Small bowel obstruction secondary to an appendiceal tourniquet. Ir J Med Sci. 2009;178:101–105. doi: 10.1007/s11845-008-0125-3. - PubMed