Aerial prevalence of Aspergillus calidoustus isolates in and around a tertiary care hospital in Kuwait and assessment of their pathogenicity

Affiliations

01 September 2014

-

doi: 10.1128/JCM.01181-14


Abstract

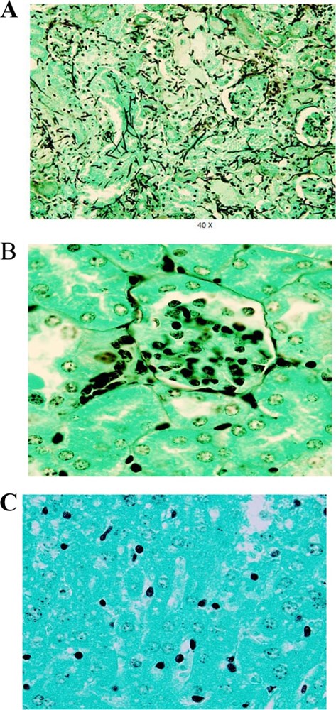
Seven Aspergillus calidoustus isolates from 486 Aspergillus spp. isolates (1.4% overall prevalence) from outdoor/indoor air samples and one isolate from the bronchoalveolar lavage fluid of a patient with pneumonia were obtained. These 8 isolates exhibited reduced susceptibility to triazoles. Preliminary pathogenicity data from BALB/c mice suggest that A. calidoustus can persist in tissues for long periods without causing mortality. Further studies using graded doses of inoculum and immunosuppression models are warranted to gain an understanding of the factors associated with its pathogenicity and virulence.


Figures


Similar articles

Cryptic and rare Aspergillus species in Brazil: prevalence in clinical samples and in vitro susceptibility to triazoles.

Negri CE, Gonçalves SS, Xafranski H, Bergamasco MD, Aquino VR, Castro PT, Colombo AL.J Clin Microbiol. 2014 Oct;52(10):3633-40. doi: 10.1128/JCM.01582-14. Epub 2014 Jul 30.PMID: 25078909 Free PMC article.

In vitro activity of nine antifungal agents against clinical isolates of Aspergillus calidoustus.

Alastruey-Izquierdo A, Cuesta I, Houbraken J, Cuenca-Estrella M, Monzón A, Rodriguez-Tudela JL.Med Mycol. 2010 Feb;48(1):97-102. doi: 10.3109/13693780902803040.PMID: 19296366

Comparison of the activities of amphotericin B, itraconazole, and voriconazole against clinical and environmental isolates of Aspergillus species.

Misra R, Malik A, Singhal S.Indian J Pathol Microbiol. 2011 Jan-Mar;54(1):112-6. doi: 10.4103/0377-4929.77352.PMID: 21393890

Triazole Susceptibilities in Thermotolerant Fungal Isolates from Outdoor Air in the Seoul Capital Area in South Korea.

Lee S, Xu S, Bivila CP, Lee H, Park MS, Lim YW, Yamamoto N.PLoS One. 2015 Sep 25;10(9):e0138725. doi: 10.1371/journal.pone.0138725. eCollection 2015.PMID: 26405807 Free PMC article.

Multi-resistant aspergillosis due to cryptic species.

Howard SJ.Mycopathologia. 2014 Dec;178(5-6):435-9. doi: 10.1007/s11046-014-9774-0. Epub 2014 Jun 27.PMID: 24969615 Review.


Cited by

Aspergillus pseudodeflectus: a new human pathogen in liver transplant patients.

Aït-Ammar N, Levesque E, Murat JB, Imbert S, Foulet F, Dannaoui E, Botterel F.BMC Infect Dis. 2018 Dec 12;18(1):648. doi: 10.1186/s12879-018-3527-5.PMID: 30541477 Free PMC article.


KMEL References