A Case of Giant Cowper's Gland Syringocele in an Adult Male Patient

Affiliations

01 January 2015

-

doi: 10.1155/2015/682042


Abstract

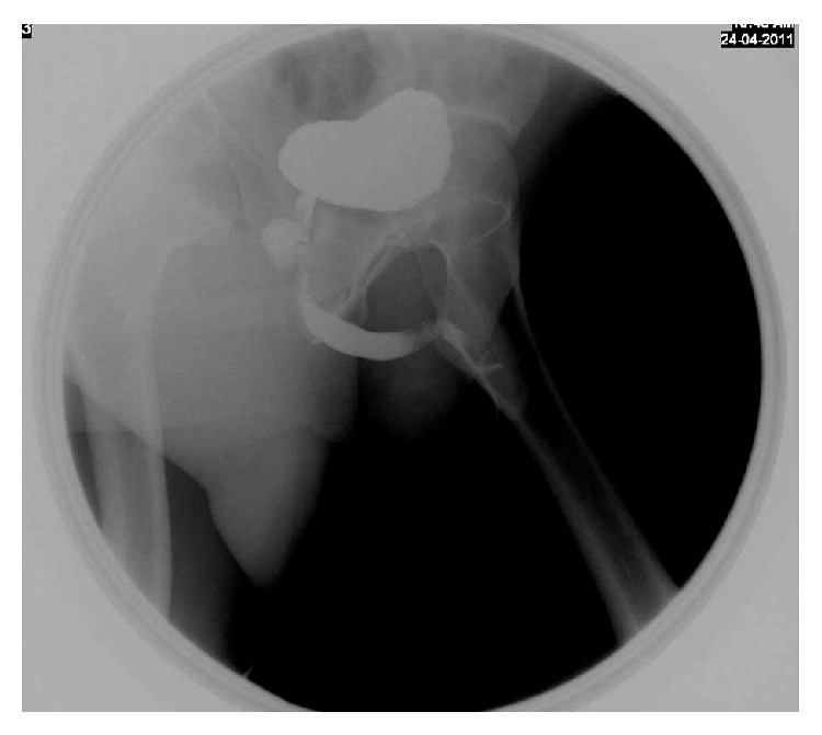
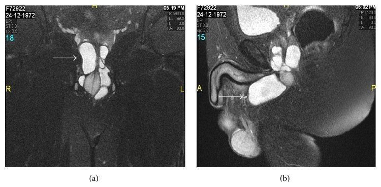
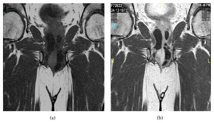
Cowper's gland syringocele is an uncommon, underdiagnosed cystic dilatation of Cowper's gland ducts showing various radiological patterns. Herein we report a rare case of giant Cowper's gland syringocele in an adult male patient, with description of MRI findings and management outcome.


Figures


Similar articles

Cowper's Syringocele: A Literature Review.

Javed S, Shahid MH, Omar I, Gupta S, Khan AZ, Kaiser A.Cureus. 2022 Dec 16;14(12):e32583. doi: 10.7759/cureus.32583. eCollection 2022 Dec.PMID: 36540322 Free PMC article. Review.

Cowper's syringocele: symptoms, classification and treatment of an unappreciated problem.

Bevers RF, Abbekerk EM, Boon TA.J Urol. 2000 Mar;163(3):782-4. doi: 10.1016/s0022-5347(05)67803-2.PMID: 10687976

Cowper's syringocele: A rare differential diagnosis of infravesical obstruction in boys and young adults.

Blasl F, Rösch WH, Koen M, Ardelean MA, Ebert AK.J Pediatr Urol. 2017 Feb;13(1):52.e1-52.e5. doi: 10.1016/j.jpurol.2016.08.023. Epub 2016 Oct 8.PMID: 27746247

Cowper's syringocele: a classification of dilatations of Cowper's gland duct based upon clinical characteristics of 8 boys.

Maizels M, Stephens FD, King LR, Firlit CF.J Urol. 1983 Jan;129(1):111-4. doi: 10.1016/s0022-5347(17)51946-1.PMID: 6827661

Unexpected presentation of syringocele. Acontractile bladder.

Türker Köksal I, Erdoğru T, Usta M, Ateş M, Baykara M.Urol Int. 2003;71(2):222-3. doi: 10.1159/000071853.PMID: 12890967 Review.


Cited by

Large, infected Cowper's syringoceles: a rare cause of perineal sepsis in adult men.

Adasonla K, Pathak S, Li CY.J Surg Case Rep. 2022 Dec 7;2022(12):rjac568. doi: 10.1093/jscr/rjac568. eCollection 2022 Dec.PMID: 36518654 Free PMC article.

Rare prostate cancer mimic on multiparametric MRI: Cowper's gland hyperplasia.

Desai S, Jia L, Diaz de Leon A, Costa DN.Urol Case Rep. 2021 Apr 3;38:101675. doi: 10.1016/j.eucr.2021.101675. eCollection 2021 Sep.PMID: 33898268 Free PMC article.

Cowper's Syringocele in Adolescent Male: Case Report.

Taskovska M, Hawlina S.J Endourol Case Rep. 2017 Sep 1;3(1):130-133. doi: 10.1089/cren.2017.0086. eCollection 2017.PMID: 29098194 Free PMC article.

An unusual perineal mass in a male cyclist.

Floyd MS Jr, Hermans B, Waterschoot M, Joniau S, Goeman L.Int Urol Nephrol. 2016 Mar;48(3):371-2. doi: 10.1007/s11255-015-1198-3. Epub 2016 Jan 2.PMID: 26725080 No abstract available.


KMEL References


References

  1.  
    1. Shuysky Y. Cowper's syringocele as cause of low urinary tract symptoms in a young man. Ugeskrift for Laeger. 2014;176(36) - PubMed
  2.  
    1. Kumar J., Kumar A., Babu N., Gautam G., Seth A. Cowper's syringocele in an adult. Abdominal Imaging. 2007;32(3):428–430. doi: 10.1007/s00261-006-9032-0. - DOI - PubMed
  3.  
    1. Masuda N., Mishina M., Kitamura Y., et al. A case report of Cowper's syringocele in an adult treated with transurethral unroofing. Hinyokika Kiyo. 2012;58(7):355–359. - PubMed
  4.  
    1. Massion J. C., Shhler A., Garbay B. Cowper's canals and glands. Patlogcal manifestations and radiologic aspects. Journal d'Urologie et de Nephrologie (Paris) 1979;85:497–511. - PubMed
  5.  
    1. Moormann J. G. Diseases of the bulbourethral gland (Cowper) in men. Der Urologe A. 1998;37(4):401–409. doi: 10.1007/s001200050198. (Ger). - DOI - PubMed
  6.  
    1. Bevers R. F. M., Abbekerk E. M., Boon T. A. Cowper's syringocele: symptoms, classification and treatment of an unappreciated problem. Journal of Urology. 2000;163(3):782–784. doi: 10.1016/s0022-5347(05)67803-2. - DOI - PubMed
  7.  
    1. Watson R. A., Lassoff M. A., Sawczuk I. S., Thame C. Syringocele of cowper's gland duct: an increasingly common rarity. Journal of Urology. 2007;178(1):p. 285. doi: 10.1016/j.juro.2007.03.155. - DOI - PubMed
  8.  
    1. Maizels M., Stephens F. D., King L. R., Firlit C. F. Cowper's syringocele: a classification of Cowper's gland duct based upon clinical characteristics of 8 boys. The Journal of Urology. 1983;129:111–114. - PubMed
  9.  
    1. Melquist J., Sharma V., Sciullo D., McCaffrey H., Khan S. A. Current diagnosis and management of syringocele: a review. International Braz J Urol. 2010;36(1):3–9. doi: 10.1590/s1677-55382010000100002. - DOI - PubMed
  10.  
    1. Kickuth R., Laufer U., Pannek J., Kirchner T. H., Herbe E., Kirchner J. Cowper's syringocele: diagnosis based on MRI findings. Pediatric Radiology. 2002;32(1):56–58. doi: 10.1007/s00247-001-0580-8. - DOI - PubMed
  11.  
    1. Selli C., Nesi G., Pellegrini G., Bartoletti R., Travaglini F., Rizzo M. Cowper's gland duct cyst in an adult male: radiological and clinical aspects. Scandinavian Journal of Urology and Nephrology. 1997;31(3):313–315. doi: 10.3109/00365599709070358. - DOI - PubMed
  12.  
    1. Redman J. F., Rountree G. A. Pronounced dilatation of Cowper's gland duct manifest as a perineal mass: a recommendation for management. The Journal of Urology. 1988;139(1):87–88. - PubMed