The suitability of panoramic radiographs for clinical decision making regarding root angulation compared to cone-beam computed tomography

Affiliations


Abstract

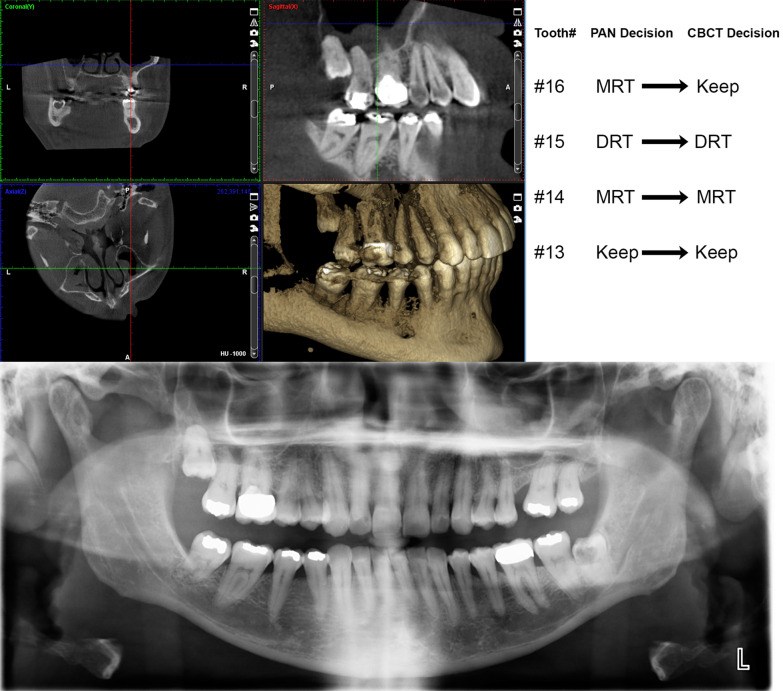
Background: The study compared clinical decisions regarding root angulation correction and root proximity based on the interpretation of Panoramic (PAN) versus Cone-Beam Computed Tomography (CBCT) images.

Methods: A total of 864 teeth from 36 existing, radiographic patient records at a university dental clinic with concurrent PAN and CBCT images were assessed using PANs, then using CBCTs in a blinded manner by two orthodontists. Teeth were rated regarding the need for root repositioning, the direction of repositioning and existence of root proximity. Frequencies, rating time and intra- and inter-examiner Cohen's Kappa were calculated.

Results: There was 73.7-84.5% agreement between PAN-based and CBCT-based orthodontists' decisions regarding the need to reposition roots. Root proximity was more frequently reported on PANs than CBCTs by one examiner (p = 0.001 and p = 0.168). Both PANs and CBCTs had moderate to substantial intra-examiner, within-radiograph-type reliability with Kappa values of 0.686-0.79 for PANs, and 0.661 for CBCTs (p < 0.001). Inter-examiner and inter-radiograph-type Kappa values ranged from 0.414 to 0.51 (p < 0.001). Using CBCT decisions as a reference, 78.9% of PAN decisions were coincident, 9.3% would have been repositioned on CBCT but not on PAN, 11.3% would not have been repositioned on CBCT but were on PAN, and 0.3% would have been repositioned in the opposite direction on CBCT versus PAN. Additionally, CBCT images required more time per tooth to assess than PANs (p < 0.001).

Conclusions: PAN-based clinical decisions regarding root angulation had comparable statistical reliability and substantial agreement with CBCT-based clinical decisions.

Keywords: Bracket repositioning; Cone-beam CT; Panoramic radiograph; Root angulation; Root proximity.

Conflict of interest statement

None of the authors has any conflict of interest to disclose related to this work.


Figures


Similar articles

Comparison of two cone beam computed tomographic systems versus panoramic imaging for localization of impacted maxillary canines and detection of root resorption.

Alqerban A, Jacobs R, Fieuws S, Willems G.Eur J Orthod. 2011 Feb;33(1):93-102. doi: 10.1093/ejo/cjq034.PMID: 21270321

Comparison of mesiodistal root angulation with posttreatment panoramic radiographs and cone-beam computed tomography.

Bouwens DG, Cevidanes L, Ludlow JB, Phillips C.Am J Orthod Dentofacial Orthop. 2011 Jan;139(1):126-32. doi: 10.1016/j.ajodo.2010.05.016.PMID: 21195286 Free PMC article.

Accuracy of mesiodistal root angulation projected by cone-beam computed tomographic panoramic-like images.

Van Elslande D, Heo G, Flores-Mir C, Carey J, Major PW.Am J Orthod Dentofacial Orthop. 2010 Apr;137(4 Suppl):S94-9. doi: 10.1016/j.ajodo.2009.02.028.PMID: 20381767

Comparison of mesiodistal root angulation of teeth by conventional panoramic and cone beam computed tomography images - A cross-sectional study.

Barakaat AA, Maaz M, Sukhia RH, Fida M.Int Orthod. 2023 May 8;21(3):100757. doi: 10.1016/j.ortho.2023.100757. Online ahead of print.PMID: 37163932

Unexpected artefacts and occult pathologies under CBCT.

Lombardo L, Arreghini A, Guarneri MP, Lauritano D, Nardone M, Siciliani G.Oral Implantol (Rome). 2017 Sep 27;10(2):97-104. doi: 10.11138/orl/2017.10.2.097. eCollection 2017 Apr-Jun.PMID: 29876034 Free PMC article. Review.


KMEL References


References

  1.  
    1. Andrews LF. The six keys to normal occlusion. Am J Orthod. 1972;62(3):296–309. doi: 10.1016/S0002-9416(72)90268-0. - DOI - PubMed
  2.  
    1. Orthodontics TABo. Grading System for Dental Casts and Panoramic Radiographs. 2012; https://www.americanboardortho.com/media/1191/grading-system-casts-radio....
  3.  
    1. Peck JL, Sameshima GT, Miller A, Worth P, Hatcher DC. Mesiodistal root angulation using panoramic and cone beam CT. Angle Orthod. 2007;77(2):206–213. doi: 10.2319/0003-3219(2007)077[0206:MRAUPA]2.0.CO;2. - DOI - PubMed
  4.  
    1. Bouwens DG, Cevidanes L, Ludlow JB, Phillips C. Comparison of mesiodistal root angulation with posttreatment panoramic radiographs and cone-beam computed tomography. Am J Orthod Dentofacial Orthop. 2011;139(1):126–132. doi: 10.1016/j.ajodo.2010.05.016. - DOI - PMC - PubMed
  5.  
    1. Ludlow JB, Timothy R, Walker C, et al. Effective dose of dental CBCT-a meta analysis of published data and additional data for nine CBCT units. Dentomaxillofac Radiol. 2015;44(1):20140197. doi: 10.1259/dmfr.20140197. - DOI - PMC - PubMed
  6.  
    1. Pauwels R, Beinsberger J, Collaert B, et al. Effective dose range for dental cone beam computed tomography scanners. Eur J Radiol. 2012;81(2):267–271. doi: 10.1016/j.ejrad.2010.11.028. - DOI - PubMed
  7.  
    1. Gavala S, Donta C, Tsiklakis K, Boziari A, Kamenopoulou V, Stamatakis HC. Radiation dose reduction in direct digital panoramic radiography. Eur J Radiol. 2009;71(1):42–48. doi: 10.1016/j.ejrad.2008.03.018. - DOI - PubMed
  8.  
    1. Grunheid T, Kolbeck Schieck JR, Pliska BT, Ahmad M, Larson BE. Dosimetry of a cone-beam computed tomography machine compared with a digital x-ray machine in orthodontic imaging. Am J Orthod Dentofacial Orthop. 2012;141(4):436–443. doi: 10.1016/j.ajodo.2011.10.024. - DOI - PubMed
  9.  
    1. Buderer NM. Statistical methodology: I. Incorporating the prevalence of disease into the sample size calculation for sensitivity and specificity. Acad Emerg Med. 1996;3(9):895–900. doi: 10.1111/j.1553-2712.1996.tb03538.x. - DOI - PubMed
  10.  
    1. Bujang MA, Baharum N. Guidelines of the minimum sample size requirements for Kappa agreement test. Epidemiol Biostat Public Health. 2017;14(2):e12267.
  11.  
    1. Landis JR, Koch GG. The measurement of observer agreement for categorical data. Biometrics. 1977;33(1):159–174. doi: 10.2307/2529310. - DOI - PubMed
  12.  
    1. McHugh ML. Interrater reliability: the kappa statistic. Biochem Med (Zagreb) 2012;22(3):276–282. doi: 10.11613/BM.2012.031. - DOI - PMC - PubMed
  13.  
    1. McKee IW, Williamson PC, Lam EW, Heo G, Glover KE, Major PW. The accuracy of 4 panoramic units in the projection of mesiodistal tooth angulations. Am J Orthod Dentofacial Orthop. 2002;121(2):166–175. doi: 10.1067/mod.2002.119435. - DOI - PubMed
  14.  
    1. Owens AM, Johal A. Near-end of treatment panoramic radiograph in the assessment of mesiodistal root angulation. Angle Orthod. 2008;78(3):475–481. doi: 10.2319/040107-161.1. - DOI - PubMed
  15.  
    1. Fryback DG, Thornbury JR. The efficacy of diagnostic imaging. Med Decis Making. 1991;11(2):88–94. doi: 10.1177/0272989X9101100203. - DOI - PubMed