El-Hattab-Alkuraya syndrome caused by biallelic WDR45B pathogenic variants: Further delineation of the phenotype and genotype
Mohammed Almannai 1, Dana Marafi 2 3, Ghada M H Abdel-Salam 4, Maha S Zaki 4 5, Ruizhi Duan 2, Daniel Calame 2 6 7, Isabella Herman 2 6 7, Felix Levesque 8, Hasnaa M Elbendary 4, Ibrahim Hegazy 4, Wendy K Chung 9 10, Haluk Kavus 9, Kolsoum Saeidi 11, Reza Maroofian 12, Aqeela AlHashim 13, Ali Al-Otaibi 13, Asma Al Madhi 13, Hager M Abou Al-Seood 14, Ali Alasmari 14, Henry Houlden 12, Joseph G Gleeson 15, Jill V Hunter 16 17, Jennifer E Posey 2, James R Lupski 2 7 18 19, Ayman W El-Hattab 20 21
Affiliations
Affiliations
- Genetics and Precision Medicine Department (GPM), King Abdullah Specialized Children's Hospital (KASCH), King Abdulaziz Medical City, Ministry of National Guard Health Affairs (MNG-HA), Riyadh, Saudi Arabia.
- Department of Molecular and Human Genetics, Baylor College of Medicine, Houston, Texas, USA.
- Department of Pediatrics, Faculty of Medicine, Kuwait University, Safat, Kuwait.
- Clinical Genetics Department, Human Genetics and Genome Research Institute National Research Centre, Cairo, Egypt.
- Genetics Department, Armed Forces College of Medicine (AFCM), Cairo, Egypt.
- Section of Pediatric Neurology and Developmental Neuroscience, Department of Pediatrics, Baylor College of Medicine, Houston, Texas, USA.
- Texas Children's Hospital, Houston, Texas, USA.
- Division of Medical Genetics and Metabolic, Department of Paediatrics, Jim Pattison Children's Hospital, University of Saskatchewan, Saskatoon, Canada.
- Department of Pediatrics, Columbia University Irving Medical Center, New York, New York, USA.
- Departments of Medicine, Columbia University Irving Medical Center, New York, New York, USA.
- Neuroscience Research Center, Institute of Neuropharmacology, Kerman University of Medical Sciences, Kerman, Iran.
- UCL Queen Square Institute of Neurology, University College London, London, UK.
- Department of Pediatric Neurology, National Neuroscience Institute, King Fahad Medical City, Riyadh, Saudi Arabia.
- Section of Medical Genetics, Children's Hospital, King Fahad Medical City, Riyadh, Saudi Arabia.
- Rady Children's Institute for Genomic Medicine, Howard Hughes Medical Institute, University of California, San Diego, California, USA.
- E.B. Singleton Department of Pediatric Radiology, Texas Children's Hospital, Houston, Texas, USA.
- Department of Radiology, Baylor College of Medicine, Houston, Texas, USA.
- Human Genome Sequencing Center, Baylor College of Medicine, Houston, Texas, USA.
- Department of Pediatrics, Baylor College of Medicine, Houston, Texas, USA.
- Department of Clinical Sciences, College of Medicine, University of Sharjah, Sharjah, United Arab Emirates.
- Genetics Clinics, University Hospital Sharjah, Sharjah, United Arab Emirates.
Abstract
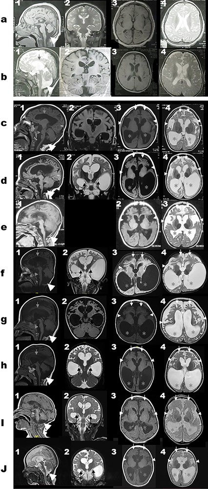
Homozygous pathogenic variants in WDR45B were first identified in six subjects from three unrelated families with global development delay, refractory seizures, spastic quadriplegia, and brain malformations. Since the initial report in 2018, no further cases have been described. In this report, we present 12 additional individuals from seven unrelated families and their clinical, radiological, and molecular findings. Six different variants in WDR45B were identified, five of which are novel. Microcephaly and global developmental delay were observed in all subjects, and seizures and spastic quadriplegia in most. Common findings on brain imaging include cerebral atrophy, ex vacuo ventricular dilatation, brainstem volume loss, and symmetric under-opercularization. El-Hattab-Alkuraya syndrome is associated with a consistent phenotype characterized by early onset cerebral atrophy resulting in microcephaly, developmental delay, spastic quadriplegia, and seizures. The phenotype appears to be more severe among individuals with loss-of-function variants whereas those with missense variants were less severely affected suggesting a potential genotype-phenotype correlation in this disorder. A brain imaging pattern emerges which is consistent among individuals with loss-of-function variants and could potentially alert the neuroradiologists or clinician to consider WDR45B-related El-Hattab-Alkuraya syndrome.
Keywords: WDR45B; autophagy; autosomal recessive (AR) trait; brain atrophy; neurodevelopmental disorders (NDD).
Conflict of interest statement
COMPETING INTERESTS
J.R.L. has stock ownership in 23andMe, is a paid consultant for Regeneron Genetics Center, and is a co-inventor on multiple United States and European patents related to molecular diagnostics for inherited neuropathies, eye diseases, genomic disorders, and bacterial genomic fingerprinting. The Department of Molecular and Human Genetics at Baylor College of Medicine receives revenue from clinical genetic testing conducted at Baylor Genetics (BG); J.R.L. serves on the Scientific Advisory Board (SAB) of BG. WKC is a paid consultant for Regeneron Genetics Center.
Other authors declare no conflict of interest
Figures
Similar articles
WIPI proteins: Biological functions and related syndromes.
Almannai M, Marafi D, El-Hattab AW.Front Mol Neurosci. 2022 Sep 9;15:1011918. doi: 10.3389/fnmol.2022.1011918. eCollection 2022.PMID: 36157071 Free PMC article. Review.
Almannai M, Marafi D, El-Hattab AW.2022 Sep 29. In: Adam MP, Mirzaa GM, Pagon RA, Wallace SE, Bean LJH, Gripp KW, Amemiya A, editors. GeneReviews® [Internet]. Seattle (WA): University of Washington, Seattle; 1993–2023.PMID: 36173873 Free Books & Documents. Review.
Suleiman J, Allingham-Hawkins D, Hashem M, Shamseldin HE, Alkuraya FS, El-Hattab AW.Clin Genet. 2018 Feb;93(2):360-364. doi: 10.1111/cge.13054. Epub 2017 Sep 7.PMID: 28503735
Shukla A, Das Bhowmik A, Hebbar M, Rajagopal KV, Girisha KM, Gupta N, Dalal A.J Hum Genet. 2018 Jan;63(1):19-25. doi: 10.1038/s10038-017-0363-1. Epub 2017 Nov 16.PMID: 29215095
Biallelic GRM7 variants cause epilepsy, microcephaly, and cerebral atrophy.
Marafi D, Mitani T, Isikay S, Hertecant J, Almannai M, Manickam K, Abou Jamra R, El-Hattab AW, Rajah J, Fatih JM, Du H, Karaca E, Bayram Y, Punetha J, Rosenfeld JA, Jhangiani SN, Boerwinkle E, Akdemir ZC, Erdin S, Hunter JV, Gibbs RA, Pehlivan D, Posey JE, Lupski JR.Ann Clin Transl Neurol. 2020 May;7(5):610-627. doi: 10.1002/acn3.51003. Epub 2020 Apr 14.PMID: 32286009 Free PMC article.
Cited by
Dysregulated proteostasis network in neuronal diseases.
Tseng CS, Chao YW, Liu YH, Huang YS, Chao HW.Front Cell Dev Biol. 2023 Feb 24;11:1075215. doi: 10.3389/fcell.2023.1075215. eCollection 2023.PMID: 36910151 Free PMC article. Review.
Autophagy genes in biology and disease.
Yamamoto H, Zhang S, Mizushima N.Nat Rev Genet. 2023 Jun;24(6):382-400. doi: 10.1038/s41576-022-00562-w. Epub 2023 Jan 12.PMID: 36635405 Free PMC article. Review.
WIPI proteins: Biological functions and related syndromes.
Almannai M, Marafi D, El-Hattab AW.Front Mol Neurosci. 2022 Sep 9;15:1011918. doi: 10.3389/fnmol.2022.1011918. eCollection 2022.PMID: 36157071 Free PMC article. Review.
Zhang J, Lu Y, Tian X, Men X, Zhang Y, Yan H, Yang F, Yang Z, Wang X.Mol Genet Genomic Med. 2022 Oct;10(10):e2036. doi: 10.1002/mgg3.2036. Epub 2022 Aug 13.PMID: 35962600 Free PMC article. Review.